INTRAHEPATIC BILE DUCTS



Interlobular Bile Ducts
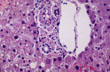
Fig 10 - INTERLOBULAR BILE DUCTS
These ducts, less than 1/10th of a mm in diam., are located in the portal field near the portal artery. They are lined by cuboidal epithelium and are surrounded by a basement membrane and loose collagen and elastic fibers. These components change in various types of bile duct injuries.

Septal Bile Ducts
Fig 11 - SEPTAL BILE DUCTS
Located in the septal spaces at the confluence of few, 3-4, interlobular ducts are larger ducts measuring greater than 100 mu in diameter. They are normally surrounded by a concentric cuff of connective tissue and elastic fibers.







CONTENTS