CELLULAR CHANGES: Steatosis


The liver is involved in lipid metabolism but normally only 5% of its weight is due to fat and fat is not seen in normal liver.. Fat storage will however increase and become visible under conditions which will affect various steps of fat metabolism,either in the uptake of dietary fat as in obesity,or in the mobilization of fatty deposits as in acute illnesses,or in the synthesis and degradation of fatty acids,tiglycerides,cholesterol and lipoproteins,or, finally in the secretion and export of synthesized fats. The stored fat consists mostly of triglycerides and therefore can be demonstrated with stains for fats such as oil red O,sudan IV,etc.,but the most recomandable,in my opinion,is osmium teroxide especially for microvesicular fat and for needle biopsies when the tissue cannot be wasted.
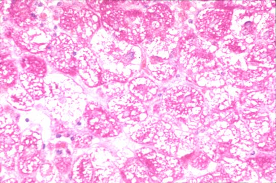
Fig 36 - Fat in macrovesicles
peripheral nuclei,
no cellular damage
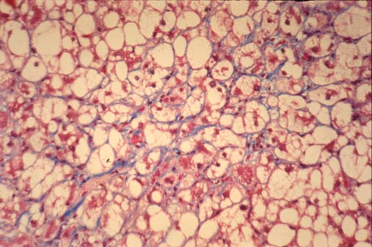
Fig 37 - Fat in microvesicles
in acute fatty liver
of pregnancy.
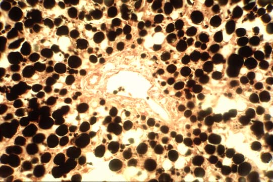
Fig 38 - Triglyceride droplets
Electron Microscopy
Fig 39 - Fat droplets with osmium
Teroxide fixation
& H&E stain.



CONTENTS | PIGMENTS