Hydrocephalus, or ventricular enlargement, may involve some or all of the ventricles, depending on whether there is a specific site of obstruction to CSF flow. Significant loss of brain tissue can also lead to enlargement of ventricles.
obstructive hydrocephalus
Characteristics:
- The block of CSF flow occurs within the ventricular system and the ventricular system enlarges proximal to the obstruction.
- Obstruction can occur due to congenital or acquired diseases.
- Depending on the location of the obstruction, there is selective dilatation of ventricles.
- Obstruction at interventricular foramina leads to dilatation of one or both the lateral ventricles (e.g.,intraventricular hemorrhage in premature infants).
- Obstruction at Aqueduct of Sylvius leads to dilatation of both lateral ventricles as well as third ventricle (e.g., aqueduct stenosis seen in patients with Chiari malformation).
- Obstruction to foramina that exit the fourth ventricle leads to dilatation of the aqueduct as well as third and lateral ventricles (e.g., Dandy-walker malformation).
- Common cause of obstructive hydrocephalus is from tumors compressing the ventricles.
|
Obstructive Hydrocephalus / Aqueductal stenosis
Case 1 :
54 year old female with delayed milestones, S/P occipital decompression of Chiari malformation, with progressive gait ataxia, adduction paresis of eyes, nystagmus and dementia.
Imaging findings:
Figure 1. Pre-contrast axial CT head
- CT scans without contrast show enlargement of lateral and third ventricles, but not the fourth ventricle, due to aqueductal stenosis.
- The posterior fossa is distorted due to a congenital Chiari malformation and previous surgery.
- Sulci and gyri are flattened against skull and are effaced.
|
Obstructive Hydrocephalus / Ependymoma in fourth ventricle
Case 2:
Child with ependymoma arising within the fourth ventricle obstructing the outflow of CSF from the fourth ventricle resulting in obstructive hydrocephalus with enlargement of aqueduct, third ventricle and lateral ventricles.
Imaging findings:

Figure 2. Post-contrast sagittal T1 wtd. MRI
|
communicating hydrocephalus
Characteristics:
- CSF reabsorption is impaired in communicating hydrocephalus, at the basal cisterns, e.g., basal meningitis (e.g. pyogenic, TB), neoplastic meningitis and subarachnoid hemorrhage.
- Clinical features of communicating hydrocephalus are like those of obstructive hydrocephalus, but less pronounced.
- In communicating hydrocephalus lateral ventricles, third ventricle, aqueduct and fourth ventricle are dilated.
- MR is the imaging modality of choice to diagnose communicating hydrocephalus.
|
Hydrocephalus in Children
Ultrasound can be used in children before there is fusion of cranial sutures.
Consequences:
- Obstructive hydrocephalus results in increased intracranial pressure, which results in increased head circumference by widening of the cranial sutures, in an attempt to decrease the pressure.
- The increased pressure also results in tense fontanels.
- Signs and symptoms of hydrocephalus include emesis (especially in the morning), decline in cognitive ability, headaches, papilledema, ataxia and defect in upward gaze.
|
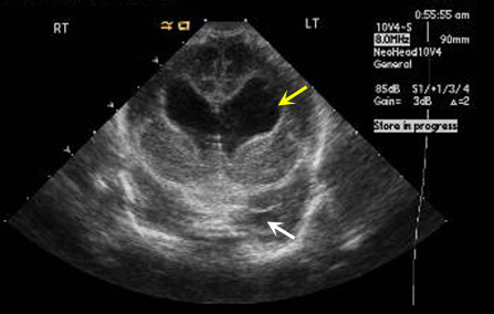
Infant with hydrocephalus
Case 3:
Imaging findings:

Figure 3. Ultrasound Head
Infant with hydrocephalus with dilatation of frontal horns of both lateral ventricles (yellow arrow) and temporal horn (white arrow).
|
Hydrocephalus in patients with brain atrophy (Hydrocephalus ex-vacuo)
- There is shrinkage of brain substance and as a consequence the ventricles dilate.
- The CSF pressure remains normal.
- Symptoms are related to brain shrinkage and not due to hydrocephalus.
Case 4:
Imaging findings:

Figure 4. Pre-contrast axial CT
- Sulci and gyri are very prominent due to cortical atrophy, unlike in obstructive hydrocephalus where there is effacement of sulci and gyri.
- Dilated ventricles are in proportion to the degree of cortical atrophy.
|