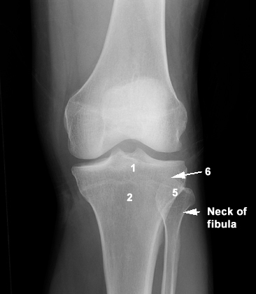
1: Head of Tibia  2: Tibial tuberosity  5: Head of Fibula  6: Styloid process of Fibula