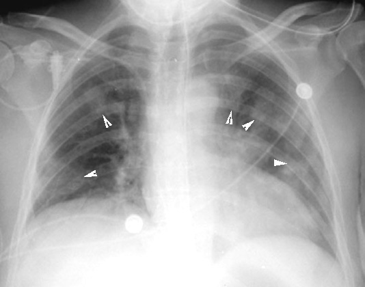
Aspergillosis: Invasive form

Arrowheads point to infarcts from angioinvasive aspergillosis.

Next