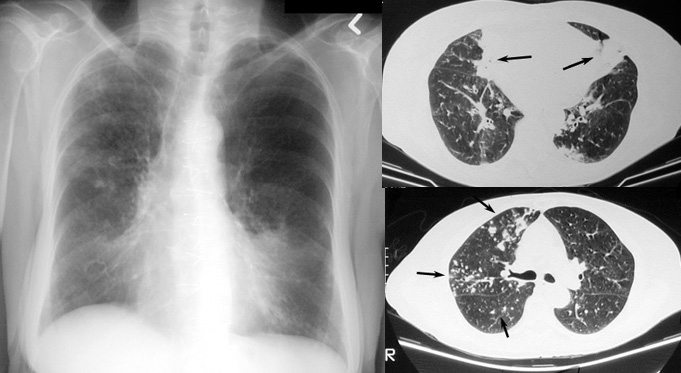
Mycobacterium Avium Intracellulare

  • Scattered lung opacities, focal dilated bronchi, small nodules
  • Characteristic involvement of right middle lobe and lingula

Next