Atelectasis

Arcot J Chandrasekhar, M.D.

Objectives:

  1. Definition

  2. Types of atelectasis

  3. Genesis of each type of atelectasis

  4. Image criteria for each type of atelectasis

  5. Appearance of atelectasis of various lobes

  6. How to approach and report each type of atelectasis

 

What is atelectasis?

What are the types of atelectasis?
What are the radiological findings of resorptive atelectasis?

 

 

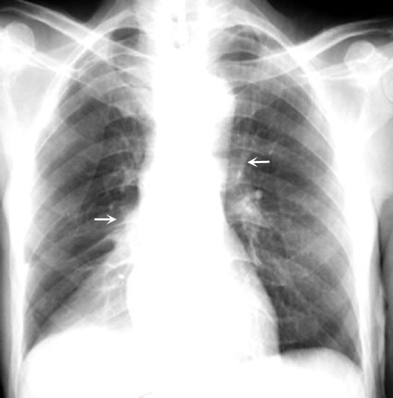
Resorptive Atelectasis of LUL
Cancer Lung

LUL atelectasis due to endobronchial obstruction. Once the bronchus is obstructed, there is no ventilation and the air gets absorbed. The distal lung is now devoid of air and becomes atelectatic.

Black arrowhead pointing to atelectatic LUL.

Signs of loss of lung volume:

Trachea (yellow arrow) is shifted to left.

White arrow is pointing to the bowing left oblique fissure. The fissure has moved forwards due to loss of LUL lung volume.

 

 

What are the signs of volume loss?
What are the radiological findings of relaxation atelectasis?

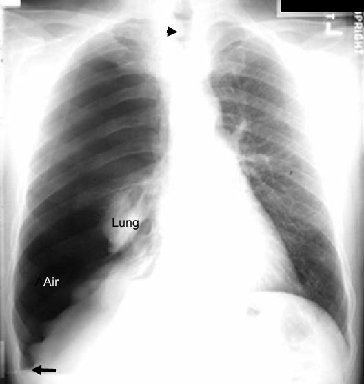
Relaxation Atelectasis / Pneumothorax

The CXR on the left reveals a right pneumothorax. 

In this instance, the loss of negative pressure in the pleura permits the lung to relax and become atelectatic due to elastic recoil.  The right lung is now devoid of air and is atelectatic. Note the atelectatic lung adjacent to the right heart silhouette.

Black arrow is pointing to deep sulcus sign. The loss of negative pressure in pleural space releases the chest wall to TLC position. Diaphragm is part of the chest wall and moves downwards creating the deep sulcus sign.

Black arrowhead is pointing to trachea.

There is a common misconception that atelectasis is due to compression. I disagree with that concept as is given in textbooks. Lung relaxes to the atelectatic position due to elastic recoil and not due to external compression.

What are the radiological findings of adhesive atelectasis?

Adhesive Atelectasis / ARDS

Diffuse bilateral lung atelectasis due to ARDS. There is loss of surfactant with resultant atelectasis of alveoli.

There is diffuse white out of lungs. 

The lungs are small. 

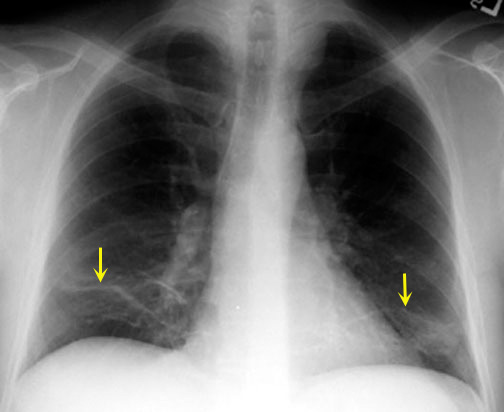
Plate like atelectasis

Plate like atelectasis (sub segmental atelectasis) is an example of focal loss of surfactant.

Note the bilateral basal plate like atelectasis. 

This is an example of plate like atelectasis (yellow arrows) in a patient with pulmonary embolism.

You can also encounter plate like atelectasis whenever there is basal hypo ventilation.

  • Post-op
  • Obesity

RUL atelectasis

  • Density in projection of the right upper lung field.
  • Triangular in shape with narrow end towards the hilum (lobar configuration).
  • Transverse fissure has moved up (white arrow).
  • Right hilum has moved up.
  • In the lateral view, the transverse fissure has moved up towards the oblique fissure (Black arrow).
  • All signs of RUL lung volume loss.

This is resorptive atelectasis due to bronchial obstruction (cancer lung).

RLL Atelectasis

The adjacent CXR shows density in the projection of the right lower lung field. The right heart border is seen clearly while the diaphragm is indistinct, indicating that it is lower lobe disease (silhouette sign). 

The shadow is triangular with narrow end near the hilum, suggesting that it is lobar density. 

The right hilum and transverse fissure are pulled down (loss of lung volume). Arrows are pointing to the hila position on both sides.

In complete RLL atelectasis you will not see the right inter lobar artery because it is surrounded by airless lung (silhouette sign). 

This is an example of right lower lobe resorptive atelectasis. Bronchial obstruction is due to endobronchial lung cancer.

RML atelectasis

Vague density in the right lower lung field. It can easily be missed in PA view.

Minor loss of right heart silhouette.

Triangular density in the lateral chest with narrow end towards hilum.

Loss of lung volume:

  • Movement of transverse fissure (White arrow) towards the oblique fissure.
  • Volume of RML is less than 5% of total lung volume and as such you will not see elevation of right hilum in PA view chest.

This is a case of RML resorptive atelectasis due to obstruction of the RML.

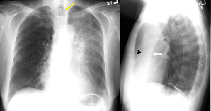
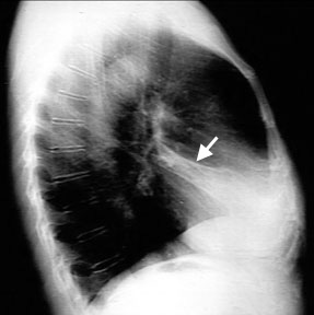
LUL Atelectasis

Haziness in the projection of the left upper lung field in PA view. Band of increased density in the retrosternal space in lateral chest (airless lung).

Loss of left heart silhouette indicating that the lingula is abnormal. 

Loss of lung volume:

  • Oblique fissure (White arrow) in lateral view has moved forwards (Bowing sign). 

Note the compensatory hyper inflation of left lower lobe behind the oblique fissure in the lateral chest. See the lower lobe creep up all the way up to the apical region (luft sichel sign)

This is a case of resorptive atelectasis due to endobronchial obstruction of the LUL.

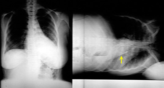
LLL Atelectasis

Atelectatic LL moves to retro cardiac location and projects as a triangular density (yellow arrow) seen through heart. Lateral decubitus film shows clearly the triangular atelectatic left lower lobe behind the heart.

Left hilum moves down (sign of loss of lung volume).

In the lateral chest (not shown), atelectatic LL projects over lower thoracic vertebra. Instead of uniform density of thoracic vertebra from top to bottom you will see lower thoracic vertebra appear denser than upper thoracic vertebra.

As with other lobar atelectasis you will not see the lower lobe vessels.

The medial portion of left diaphragm will become indistinct (silhouette sign).

 

 

 

 

 

 

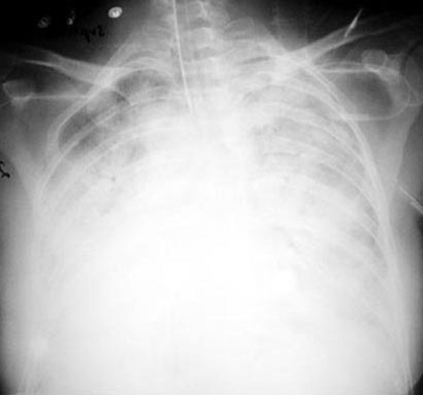
Total atelectasis of Lung

 

The right hemi thorax is whited out (no air).

Signs of loss of lung volume include:

  • Trachea is shifted to the right (yellow arrow)
  • Hemi thorax is smaller on the right
  • Crowding of ribs on the right

Silhouette sign:

The silhouette of the right heart and right hemi diaphragm are lost.

Vessels in right lung not seen due to loss of air in alveoli

 

When you are considering resorptive atelectasis make the following statements to support it.
  1. Triangular density.
  2. Signs of loss of lung volume. Indicate the evidence
  3. Localize it to a segment, lobe or lung. (Use silhouette sign)
  4. Compensatory hyperinflation.
  5. Etiology: Look for what is causing endobronchial obstruction (coin, mass, mal position of ET tube etc)

Most of the time you will not see anything obvious to account for obstruction. You have to suspect the etiology of obstruction based on the history and the clinical setting.

  • Post op: Mucus plug
  • Heavy smoker: Lung cancer
  • Healthy child eating peanuts: Aspiration
  • On ventilator with ET tube in right main stem bronchus

When you are considering relaxation atelectasis make the following statements to support it.

  • The primary event is in the pleural space, like pneumothorax.
  • Trachea will be shifted to opposite side because of the primary pleural event.
  • The entire lung will be atelectatic.
  • Etiology is usually pneumothorax. (You will not see the atelectatic lung underneath the effusion. Silhouette sign)

When you are considering adhesive atelectasis make the following statements to support it. This occurs when there is no surfactant.

Diffuse:

  1. Diffuse white out with smaller lungs

  2. Etiology: ARDS or Neonatal RDS (hyaline membrane disease)

When it is plate like atelectasis it is either due to loss of CO2 or oxygen. CO2 and oxygen maintain the integrity of surfactant.

  1. Basal hypo ventilation

  2. Lack of Oxygen (pulmonary embolism)

Basal hypo ventilation can be seen in

  • Post op state

  • Obesity

  • Acute abdomen

  • Diaphragmatic paralysis

Look at the clinical setting to determine the etiology of adhesive atelectasis.