Benign Brain Tumors

Common Benign Brain Tumors:

  • Meningioma
  • Pituitary Macroadenoma
  • Craniopharyngioma

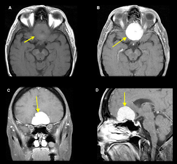
Figure 1

A. Pre-contrast axial T1 wtd. MRI
B. Post-contrast axial T1 wtd. MRI
C. Post-contrast coronal T1 wtd. MRI
D. Post-contrast sagittal T1 wtd. MRI

Meningioma

Case 1:

80 year old patient presents with anosmia and short term memory loss.

Imaging findings: Figure 1

  • A well defined strikingly enhancing classic meningioma is seen involving the floor of anterior cranial fossa (yellow arrow in figs B, C, D).
  • The tumor is dural based and is extra-axial.

Final impression:

Meningioma

Most common intracranial benign tumor. Tumor is extra-axial, dural based, often calcified, and enhances intensely. These tumors occur along the dura, falx and tentorium.

Dural based meningiomas over the convexity of the brain can be asymptomatic and incidentally discovered. These are often slow growing and do not require resection unless symptomatic. Presents as a mass lesion, with symptoms related to its location.

CT and MRI are useful imaging modalities in the evaluation of meningioma. Meningiomas are sharply defined extra-axial tumors with calcifications (20-25%) and intensely enhances like a light bulb when viewed on post-contrast CT/MRI images.

 

 

 

Figure 2

A. Pre-contrast axial T1 wtd. MRI
B. Post-contrast coronal T1 wtd. MRI
C. Post-contrast axial T1 wtd. MRI
D. Post-contrast sagittal T1 wtd. MRI
E. Axial CT brain (bone window)

Partially Calcified Meningioma

Case 2:

66 year-old lady presented with numbness involving the left upper and lower extremities. .

Imaging findings: Figure 2

  • Yellow arrows (figs. B, C, D) point to partially calcified meningioma.
  • Calcification within the tumor is better appreciated on non-contrast CT image as an area of increased density (red arrow in E) rather than on pre-contrast T1 wtd. MRI (red arrow in A).
  • Meningioma inhomogeneously enhances on post-contrast studyI due to presence of calcification. However, meningiomas usually demonstrate homogenous intense enhancement.
  • The tumor is dural based and is extra-axial.

Final impression:

Partially calcified meningioma involving the right lateral frontal dura

Figure 3

A. Post-contrast coronal T1 wtd. MRI
B. Post-contrast sagittal T1 wtd. MRI

Pituitary Macroadenoma

Case 3:

A 35 year-old woman comes to your office complaining of worsening peripheral vision over the past few months. She also complains of an associated headache that she cannot describe well. Her last menstrual period was seven weeks ago. Neurological exam shows bi-temporal hemianopsia.

Imaging findings: Figure 3

  • A homogeneously enhancing tumor is seen in post-contrast coronal and sagittal T1 wtd. MRI within the sella (yellow arrow) with suprasellar extension (red arrow) producing optic chiasm compression.

Final impression:

Pituitary Macroadenoma

Microadenomas tend to be small in size and are recognized early due to the hormone secreting features.

 

Figure 4

A. Pre-contrast axial T1 wtd. MRI
B. Post-contrast axial T1 wtd. MRI
C. Post-contrast sagittal T1 wtd. MRI
D. Axial T2 wtd. image

 

Craniopharyngioma

Case 4:

Imaging findings: Figure 4

  • Suprasellar cystic tumor. The cystic component of tumor demonstrates low signal on T1 wtd. image (arrow in fig. A) and is bright on T2 wtd. image (fig. D).
  • A rim of peripheral enhancement (yellow arrow in figs. B, C) is seen on post-contrast images.

Final impression:

In the pediatric age group, this is quite classic for craniopharyngioma.

Tumor occurs more commonly in children located in suprasellar region. Tumor is derived from remnant of Rathke pouch secondary to maldifferentiation of Rathke pouch epithelium.. Tumor is very slow growing and may compress optic chiasm and cause bi-temporal hemianopsia. It can increase intracranial pressure due to obstructive hydrocephalus. It can disrupt pituitary function. It is usually cystic and often contains calcium. Hallmark is the appearance of a suprasellar calcified tumor with cystic and enhancing components. Cyst content usually has the same signal intensity as CSF. Capsule enhances with contrast.