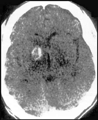
CNS Toxoplasmosis

Post-contrast axial CT image of the brain at the level of the basal ganglia in a patient with h/o drug addiction.

Findings: Enhancing ring lesion within the right caudate nucleus.