Normal Pregnancy
What is the purpose of imaging procedures during a normal pregnancy?
What is the imaging modality of choice during pregnancy and why?
What are the findings of normal pregnancy?
Normal Pregnancy Images
Identify the gestational sac and embryo. Answer
Identify the embryo Answer
List the items measured by ultrasound Answer
Identify parietal bone, amniotic fluid and placenta. Answer
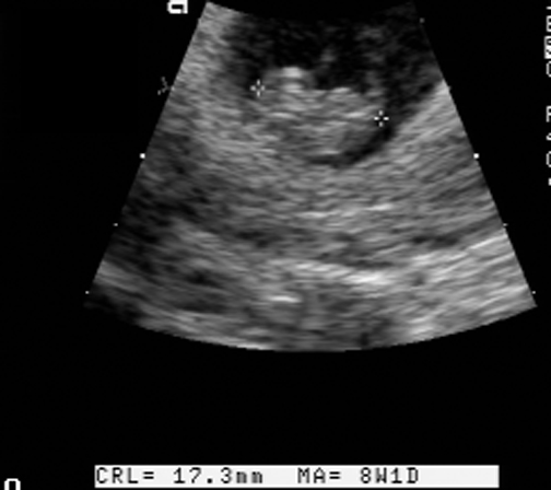
What is CRL? Answer
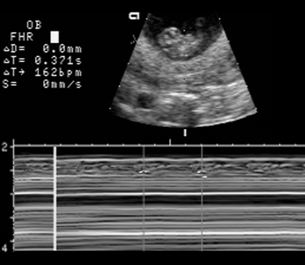
What is the normal fetal heart rate Answer
Identify gestational and yolk sacs. Answer
Measurements Answer
Measurements Graph Answer
Identify head, spine and face of the baby. Answer
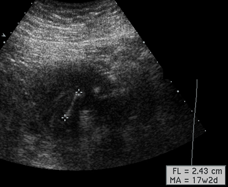
Identify fetal femur. How do you use the length of fetal femur. Answer
Doppler Fetal heart. Identify heart, descending aorta, carotid artery. Answer
Identify cranium , orbit and mandible Answer
Locate placenta. Answer
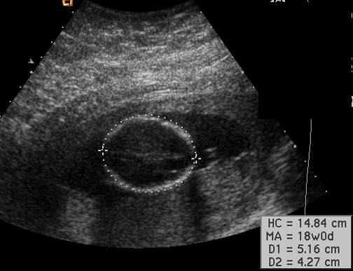
Fetal head circumference Answer
  Stomach, liver, spine
  Placenta, Tibia, Femur
  Foot
  Tibia, Fibula
  15 weeks
  15 weeks
  Fetal heart
  38 weeks
  Face
  Bladder stomach
  Heart chambers
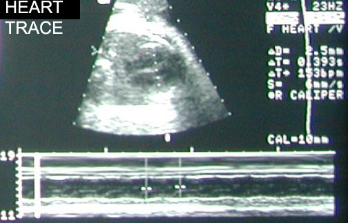
  Heart trace
  Hand fingers
  Bladder Cord
  Nose lips