Abdominal Abscess

What are the useful imaging procedures in the evaluation of abdominal abscess ?
What are the imaging findings of abdominal abscess ?
What are the common intra-abdominal abscesses?

Sub diaphragmatic

 

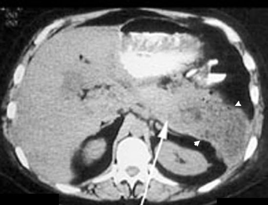
Subdiaphragmatic abscess post splenectomy 

  • Arrow points to multiloculated thick walled fluid collection in the left upper quadrant of the abdomen. 
  • Note absence of spleen.

Pancreatic

Pancreatic abscess

Diffusely enlarged pancreas with air pockets. 

Arrow points to body of Pancreas

Abscess is in tail of Pancreas

Renal

Renal abscess

  • 40 year old man with fever and diarrhea for two weeks. He has infected urine.
  • IVP shows functioning right kidney (black arrowhead).
  • No function in the left kidney.
  • Air pockets seen in the left flank (white arrowheads).

 

Renal abscess

CT shows a large mass in the left renal area with multiple air pockets and absence of functioning renal parenchyma.

Appendiceal

Acute Appendicitis Appendiceal abscess

CT Post Contrast:

  • Arrrows point to the inflammatory mass in the right lower quadrant with an air pocket indicating an abscess.
  • Mass demonstrates contrast enhancement.
  • Calcification seen within the mass probably represents an appendicolith.

Liver

Diverticulitis

Post Diverticular abscess drainage