Diverticulosis / Diverticulitis

What is diverticulosis and what is diverticulitis?
Acute diverticulitis occurs when a section of colon reveals acute inflammation (hyperemia, swelling) of the serosa and pericolic fat.
A section of colon reveals numerous diverticula which protrude from the edge of the taenia coli (*). The colon is cut in cross section revealing the diverticuli (contain feces) and the empty colonic lumen.

 

What is the mode of clinical presentation of diverticulosis?
What are the potential complications of divericula?
What are the complications of diverticulitis?
What are the imaging studies to detect findings of diverticulosis?

Diverticula

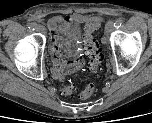
Diverticula

CT: Arrowheads point to multiple diverticula arising from the rectosigmoid.

 

What is the imaging procedure of choice to demonstrate diverticulitis?
What are the imaging findings of diverticulitis?

Diverticulitis 

 

Pneumoperitoneum

  • Arrowheads point to free air.
  • White arrows points to collection of fluid around bowel loops.
  • Black arrows point to pericolonic fascial infiltration.

Diverticulitis with Abscess

Findings:

  • White arrowheads: Diverticula
  • White arrow: Narrowed lumen
  • Black arrow: Perforation with intramural abscess