Osteoarthritis (OA)

Osteoarthritis is a degenerative joint disease.

What are the useful imaging modalities to investigate osteoarthritis?
What are the findings of OA in plain radiographs?
Hand

Osteoarthritis Hand

Joint space narrowing of radiocarpal, carpometacrapal joint of thumb and metacarpophalangeal joints

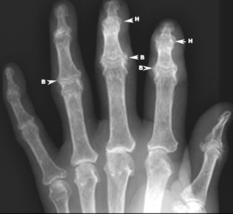
Osteoarthritis hand

  • Cartilage loss with narrowing of interphalangeal joints
  • B: Bouchard nodes (osteophytes proximal interphalangeal joints)
  • H: Heberden nodes (osteophytes distal interphalangeal joints)
Knee

Osteoarthritis Knee

  • Black arrows point to osteophytes.
  • White arrow points to narrowed medial compartment.

Osteoarthritis knee

  • Black arrows point to subchondral sclerosis.
  • White arrow points to osteophytes.
  • Black arrowheads point to joint narrowing. Medial compartment narrrowing.

Osteoarthritis Knee

  • Arowheads point to narrowed medial compartments and osteophytes.
  • Arrows point to the varus deformity of both tibia.
Spine

Osteoarthritis Spine

  • White arrowheads point to osteophytes.
  • White arrows point to narrowed joint space.
  • Black arrows point to sclerosis.
  • F: Incidental IVC filter

 

Osteoarthritis Herniated Discs

  • A: Distal cord and nerve roots
  • B: CSF
  • C: Herniated discs L4-L5 and L5-S1

 

Osteoarthritis Spinal stenosis

Osteoarthritis Spinal Stenosis

Hip

Osteoarthritis hip

  • White arrow points to osteophytes.
  • White arrowheads point to narrowed joint space and sclerosis.
Nuclear Medicine

Osteoarthritis bone scan

Arrowheads point to areas of symmetrical increased isoptope accumulation in the knees and shoulders, suggestive of osteoarthritis.