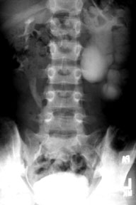
Intravenous Pyelogram (IVP) Showing Hydronephrosis


This film shows the abdomen 20 minutes after contrast was injected intravenously. Concentration of the contrast is seen in both kidneys. The right kidney and ureter are seen to be normal. Notice the rather delicate cup-like white structures caudal to the right 12th rib. These are the calyces of the right kidney. The left kidney has hydronephrosis. Notice the large, round white areas to the right of the lumbar vertebra. This is the pelvis (large medial collection of contrast) and calyces (smaller lateral white to light gray circles) of the left kidney. They are dilated because there is an obstruction at the ureteropelvic junction. The ureter is never seen.

 

Return to G/U Imaging Home Page.

Return to G/U Development Home Page.


©David A. Hatch, M.D., 1996