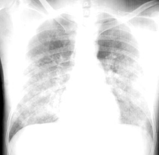
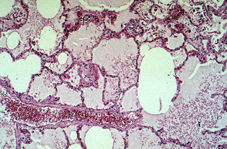
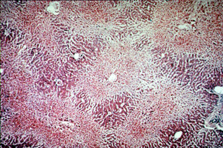
The images are not from this case.

CXR

Physical findings

Graphs/Drawing

Venous pressure measurement 

Investigations

EKG

Echocardiography

Pthology

Path/PE and Pulmonary edema.: Note frothy fluid exuding from lungs.  Dr Ralph Leischner

Path/Lung edema.: Alveoli filled with fluid.  Dr Ralph Leischner

Pulmonary embolism-heart failure-lung/micro  Dr Ralph Leischner

Chronic Passive Congestion of the Lung/Histology/40  Dr Ralph Leischner

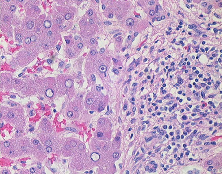
Liver-chronic passive congestion - CHF  Dr Ralph Leischner

Chronic Passive Congestion of the Liver/Histology/40  Dr Ralph Leischner

Liver-chronic passive congestion - CHF/Micro  Dr Ralph Leischner

Tables

Classic symptom complex for diseases causing shortness of breath

Symptoms

Physical findings

Therapeutic strategy

Ionotropic agents

Decrease pre-load

Decrease after-load

Compensatory measures

Starling curve normal

Starling curve failing Heart

Definitions

 

Send comments to Dr. A.J. Chandrasekhar M.D.