NORMAL BILE DUCTS



Hylar Bile Ducts
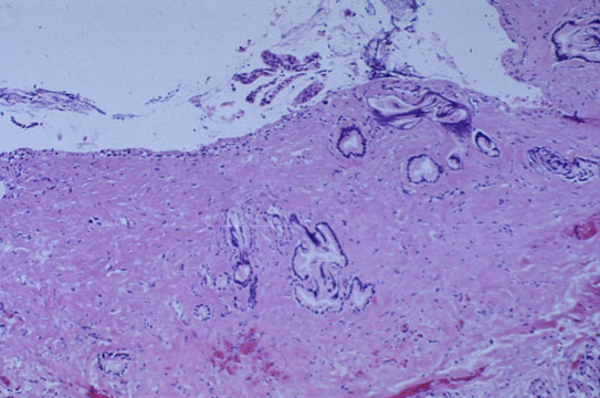
Fig 12 - HYLAR BILE DUCTS
Are one for the right lobe and one for the left.&nbs; There are,however recesses and outpouchings connected with them which are involved in the resorption and concentration of bile.  Cholelithiasis may occur in these ducts.

COMMON HEPATIC DUCT
About 10-12 mm in diameter,they is lined by mucosa with short folds supported by fibrous tissue with elastic fibers.They have glandular recesses in the muscular wall which should not be iterpreted as infiltrating malinancy. These gland are surrounded by elastic fibers,therefore an elastica stain should solve the problem.

CYSTIC DUCT
The mucosa has folds.At the junction with the neck of the gallblader there are mucosal folds in a spiral fashion and the folds contain smouth muscle fibers.This musculature acts as a flow --controlling valve (spiral valve of Heister).






CONTENTS | NORMAL BILE DUCTS CONT.