CELLULAR CHANGES


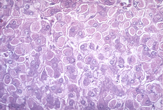
LAFORA BODIES: Large cytoplasmic inclusions occurring in myoclonal epilepsy.
They are seen in neurons of central nervous system, muscles, myocardium, other viscera but constantly in hepatocytes,therefore the liver biopsy is diagnostic.
The inclusions are large,accupy the entire cytoplasm,granular as ground glass cells but surrounded by a halo.
They are seen typically in the periportal area.
They may be confused with ground glass cells,glycogenosis type IV and drug inclusions (disulfiram and cyanamide).
When in doubt,electron microscopic study becomes crucial. (3)

Fig 34 - Lafora bodies in the brain.
Dense intraneuronal
inclusions.  H&E Stain
Fig 34a - Lafora bodies in the liver.
Diastase-PAS Stain.
(From G. Klatskin &
H.O. Conn Histopath.
of the liver)
Fig 35 - Lafora body under
Electron microscopy.
Aggregates of randomly
Arranged fibrils
60A in diam.




(3)



CONTENTS | FAT STORAGE(Steatosis)